2017年 1月 の投稿一覧

かんたん!ヘルマンの歯齢の覚え方

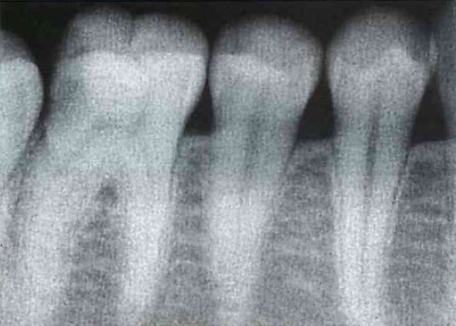
今日はこの問題です。

95B-18
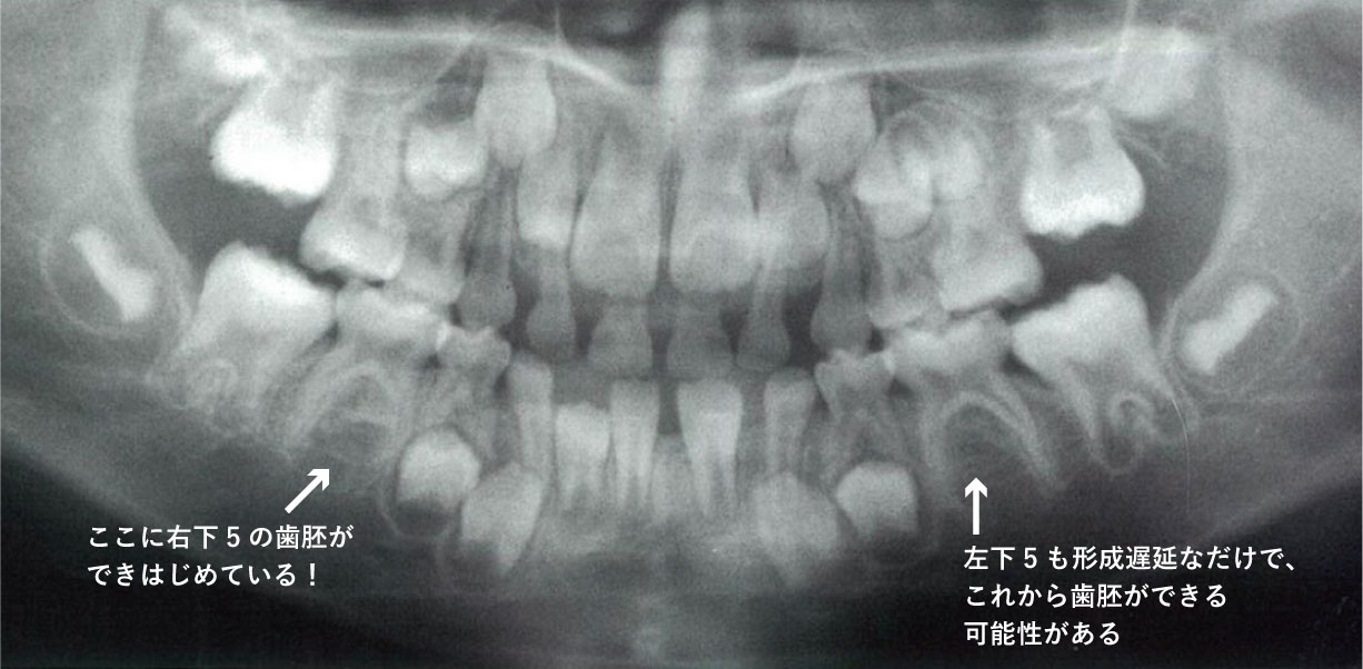
6歳の男児。定期診査を希望して来院した。来院時のエックス線写真を別に示す。
適切な所見はどれか。2つ選べ。

スクリーンショット 2017 01 31 11 14 40

a Hellmanの歯齢はⅢA期である。
b 下顎切歯が1歯不足している。
c 犬歯の歯冠の位置は正常である。
d 下顎第二小臼歯が1歯不足している。
e 第一大臼歯の歯根形成は遅延している 。

正答 b,c

a ヘルマンの歯齢が悩みます。6も1も萠出途中だし、どっちだったっけ、ⅡCだったかⅢAだったか。。。そもそも、ⅡCとⅢAの明確な違いってなんだっけ。。。

x線の所見は本当に見慣れていないときついです。「c 犬歯の歯冠の位置は正常である。」って自身持って選べる学生は少ないと思います。臨床でがっつり症例こなしたりすると自然に身につくようなもんでしょうけど、学生で教科書にのっている数枚のレントゲンしか見ていない状態だときついものがあります。

少しでも確実にするように、ヘルマンの歯齢は確実に覚えておきましょう。この選択肢でも、「a ヘルマンの歯齢はⅢAである。」を間違いだと消すことができれば、かなり正答を選ぶのが楽なります。ヘルマンの歯齢は確実に覚えたいところ、、、ですが、あの表、超覚えづらいわかりずらいですよね…

Hellmanの歯齢

スクリーンショット 2017 01 31 10 33 23

Hellmanの歯齢は「ステージが切り替わる瞬間」を覚える

上の問題でもわかりますが、ぼんやり「○Aは○○期」なんて覚えていると問題ミスってしまう確率が高くなります。なので、ステージが切り替わる瞬間のイベントは何なのか、をしっかりと覚えることが重要です。メリハリつけて、しっかりイメージを思い描きながら、覚えましょう!

「A」は「上下が噛み合う!」=合うの「A」

「C」は「出現」の「C」

ヘルマンの歯齢は以下のように覚えましょう。

「A」は「次に生えてくる上下の臼歯が噛み合った瞬間」に「A」となる

「2A」なら「上下E」が噛み合った瞬間に2Aになります。「3A」なら「上下6」が噛み合った瞬間に「3A」になります。「4A」は「上下7」が噛み合った瞬間です。「1A」だけは例外で、全く歯がない状態、頭も出していない状態を示すので、スタート状態、例外としておさえておきます。

「C」は口腔内にちょっとでも頭が見え始めた瞬間に「C」になる

「出現」の「C」でも、見える「See」の「C」でも、覚え方はおまかせします。「1C」は「下顎A」が見え始めた瞬間に「1C」、「2C」は「1か6」が見え始めた瞬間に「2C」になります。3Cは「7」が見え始めた瞬間に「3C」になります。

「側方歯群」を覚えましょう。

ちなみに「3B」の「側方歯群」という言葉を覚えましょう。「345」を「側方歯群」といいます。これらいずれかが見え始めた瞬間に「3B」となります。下顎なら「3」が、上顎なら「4」が最初に生えてくるはずです。このいずれかの頭が、口腔内にちょっとでも顔を出した瞬間に「3B」となります。

ヘルマンの歯齢

  • 1A|無
  • 1C|A_出現
  • 2A|上下E_噛み合う
  • 2C|1,6_出現
  • 3A|上下6_噛み合う
  • 3B|345萠出
  • 3C|7出現
  • 4A|上下7_噛み合う
  • 4C|8出現
  • 5A|上下8_噛み合う

また、「3A」は「6,1,2」の期間で、「3B」は「3,4,5」の期間、というように、3歯ずつの対応でもおさえておきましょう。あと期間ですが、2Aであれば、「上下E噛み合う」が始まりで、「1,6出現」で終了になります。なので、「2A」は実質的には完全な乳歯列で過ごす時期とも言えるわけです。他の期についても、同じです。「3A」が「6,1,2」の萠出期で「3,4,5」いずれかが見え始めたら終了、という期間になります。

スクリーンショット 2017 01 31 11 14 40

以上を踏まえて問題のレントゲンを見てみると、、、上下6が萌出途中で、噛み合っていませんよね!ということで、これはⅢAになれていないので、ⅡCだと一発で判断することができます!

演習問題1

105C-28

Hellmanの歯齢で全ての第一大臼歯の萠出完了期を示すのはどれか。1つ選べ。

a ⅠA期
b ⅡA期
c ⅢA期
d ⅣA期
e ⅤA期

正答 c

こういう問題のときも確実にするために毎回上の表を書き出してみましょう。まず、数字だけ書いて、、、

  • 1A
  • 1C
  • 2A
  • 2C
  • 3A
  • 3B
  • 3C
  • 4A
  • 4C
  • 5A
Aのところに「噛み合う」、Cのところに「出現」と書いていきます。
  • 1A|無
  • 1C|出現:
  • 2A|噛み合う:
  • 2C|出現:
  • 3A|噛み合う:
  • 3B
  • 3C|出現:
  • 4A|噛み合う:
  • 4C|出現:
  • 5A|噛み合う:
そして最後に、歯を書いていきます。
  • 1A|無
  • 1C|出現:A
  • 2A|噛み合う:上下E
  • 2C|出現:6
  • 3A|噛み合う:上下6
  • 3B
  • 3C|出現:7
  • 4A|噛み合う:上下7
  • 4C|出現:8
  • 5A|噛み合う:上下8
「3B」は「側方歯群」=「3,4,5」ですね。

演習問題2

89A-60
発育の検査を必要とする場合はどれか。1つ選べ。
a 3歳男児でHellmanの歯齢ⅡA
b 5歳女児でHellmanの歯齢ⅡA
c 7歳女児でHellmanの歯齢ⅡA
d 8歳男児でHellmanの歯齢ⅢA
e 9歳女児でHellmanの歯齢ⅢB

正答 c

一番、ヤバイ状態を選べばいいです。ⅡA期は、、、

  • 1A|無
  • 1C|出現:A
  • 2A|噛み合う:上下E
  • 2C|出現:6
  • 3A|噛み合う:上下6
  • 3B
  • 3C|出現:7
  • 4A|噛み合う:上下7
  • 4C|出現:8
  • 5A|噛み合う:上下8
より、上下Eが噛み合ってから、6が出現するまでです。7歳でまだ第一大臼歯が顔を出していないってやばいですよね。ということで、正答はCです。
Hellman dental age

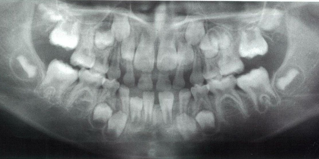
最後に、ちょっと深い話|第二小臼歯の形成遅延について

実は、国家試験の正答は間違っています。選択肢の「d 下顎第二小臼歯が1歯不足している。」が、誤答肢になっていますが、これは実は正しいです。パノラマをよく見てみると右下5の歯胚が薄くですが、でき初めています。この感じだと左下5も今後でてくる可能性は十分にあります。
御存知の通り、先天欠如の多い歯種は「8」「5」「2」ですね。それぞれ、「大臼歯」「小臼歯」「切歯」でもっとも遠心にある歯は退化傾向で、先天欠如が多いことで知られています。この問題のパノラマも「5」がその傾向にあり、下顎では歯胚の形成がすごく遅れており右下5のみ確認できます。上顎では左上5が正常に発生していますが、やはり右上5の歯胚は確認できません。
よって、本当はこの「d 下顎第二小臼歯が1歯不足している。」は微妙な選択肢で、最近の感じだと削除かこの選択肢も丸になる流れになると思います。クレームがついてもきちんとした反論はできないかと思わます。(一応、この内容は、大学の小児歯科の先生に確認とれていますし、ANSWERでは画像所見の欄にのみ指摘されています。)
ただ、歯科国家試験では、何が正しいかというよりも、多くの人が選んだものを選べるようになっておくことのほうが得策です。正答率10%の問題がわかって正答しても削除になってしまう可能性があり、あまりそのマイナーな知識は点数に結びつかない可能性があるからです。それよりかもっとミーハーにみんなが正解する問題で正解する、皆が間違う問題で間違える(別に間違う必要はありませんが、、、)というぐらいの姿勢を目指していったほうがより合格には近づくかと思います。
今回は以上です。

小児歯科おすすめの本

小児歯科学 第3版 (歯科国試パーフェクトマスター)   ★★★

小児歯科が苦手な人に!とっても良い本だと思います。初めて読むのは医歯薬の教科書よりこちらのほうが理解しやすいかもしれません。1ページあたりの文字数が少なく、写真や図が多めです。また学生目線でレントゲンの読み方なんかものせていて、いくつかのパノラマで所見を書き出してくれているので、それみながら練習などやりやすいですし、解説も丁寧です。

スクリーンショット 2017 01 31 14 58 32

スクリーンショット 2017 01 31 14 54 36

↑う蝕の好発部位とかも、イラストいりでイメージしやすいです。

スクリーンショット 2017 01 31 14 52 45

↑学生には嬉しい、歯年齢と運動発達、情動発達、言語発達をまとめた表にしてくれています。項目数もしぼってくれているので、重要なものからおさえていくことができます。

小児歯科学 医歯薬出版株式会社 ★★☆

歯科国試のバイブル、医歯薬出版株式会社の教科書シリーズです。持っていない人は必ず、国家試験の勉強始める前に揃えておきましょう。歯萠出年齢なんかも、他の本だとアメリカの調査のがのっていますが、国家試験で出るのは日本の調査(1988年小児歯科学会調べ)で、きちんとこの本では差し替えられているので、いろんな情報の信頼性はこちらが確実です。

アピカルシート・カラー・ストップがややこしい

この問題を解いてください。

107A-58
アピカルシートの目的はどれか。1つ選べ。
a 側枝の封鎖
b 歯根破折の防止
c マスターポイントの保持
d コロナルリーケージの防止
e マスターポイントの逸出防止

正答 e

Cのマスターポイントの保持、で間違った人が多いかもしれません。これは「アピカルカラー」の目的ですね。アピカルシート=アピカルストップは、根尖部に付与する狭窄部なので、マスターポイントが外にでないように止めておくためのものです。

問題文が「アピカルストップ」で選択肢の「e」が「a」の位置においてあったら、もっと正答率が上がっていたでしょう。

Apical seat

アピカルシート・カラー・ストップがややこしい

このあたりの用語が本当に面倒です。シートとカラーが特にイメージつきません。以下のようにイメージすれば一発で覚えられます。

Apical seat2

アピカルシートの「シート」は「座る」ガッタパーチャが座るための構造です

上図のように、アピカルシートの「シート」は「座る」ガッタパーチャが座るための構造です。英語でseat。当然、座れれば、根管口よりも外に行かないように「ストップ」できるので、「アピカルストップ」も同じ意味の言葉になります。後で説明しますが、これは「抵抗形態」です。

パーシャルデンチャーで「レストシート」というのもありますね。この「シート」も「座る」の意味で覚えるとよくて、「レスト」が座る(=シート)ための構造というわけです。部分床義歯にかかる咬合力=垂直的な力を支える、支持するための「レスト」が歯に収まるために、スプーン型にレストシートを形成します。前処理です。

アピカルカラーの「カラー」は「襟=えり」です

アピカルカラーはガッタパーチャのための襟です。英語でcollar(画像検索:https://goo.gl/i3FqVK)。ワイシャツの襟って、首にぴったりくっついて、首を保持しているじゃないですか。犬の首輪のことも英語で「collar」といいます。保存修復で「保持」といったら「とれないように押さえておく」ということです。だからアピカルカラーは「保持形態」です。

Apical seat3

根管の形成にも「便宜形態」「保持形態」「抵抗形態」がある

Blackがつくった窩洞形成の5要素に

  • 便宜形態
  • 保持形態
  • 抵抗形態
  • 窩洞外形
  • 窩縁形態

がありますが、根管形成にはそのうちの3つ

  • 便宜形態
  • 保持形態
  • 抵抗形態

が存在します。それぞれ

  • 便宜形態=フレア形成:ファイルが動きやすくするために、便宜的に、、
  • 保持形態=アピカルカラー:マスターポイントをしっかりと掴んでおくためにぴったりの形の空洞をつくる
  • 抵抗形態=アピカルシート:充填時にガッタパーチャがもれないように、また根尖が壊れないような形を作っておく

という対応があります。

こちらもしっかりと覚えておきましょう。

乳歯と永久歯の根管治療の違い

また小児の過去問で「乳歯の根管治療で行わないのはどれか?」という領域横断的な問題がでました。

107C-75
根安定期の乳歯と根完成永久歯の歯内療法の手技において異なるのはどれか。2つ選べ。
a インピーダンス測定
b 根管長測定
c 根管拡大
d 根管形成
e 根管充塡

正答 d, e

乳歯では、永久歯の萠出にともなって、歯根が吸収されますので、ガッタパーチャで根充するとそれが残ってやばいことになります。よって、乳歯の根充は、「水酸化カルシウム系」「ヨード系の糊剤」を使用します。これらは自然と生体に吸収されていくので、永久歯が生えてくるのを邪魔しません。糊剤は、カルシペックスみたいに、シリンジで注入するだけですので、マスターポイントをしっかり捕まえておくための、アピカルカラーを形成する必要がありません。つまり、根管形成の手技が違ってきます。
Apical seat3

本日は以上です。

歯内療法おすすめの本

新歯内療法学サイドリーダー 学建書院 2013 ★★★

サイドリーダーでは、この歯内療法の本が群を抜いておすすめです。イラストが丁寧にかかれていて、教科書の文章読んで頭のなかでイメージするしかなったような処置の様子が、ああ!こんな風にするんだ!という箇所が多く、勉強になりました。3,4年生でこれから学ぶ人も、6年になっても歯内療法が苦手!という人も、まずはこの本をみておくと入り口からスムーズに入れて、その後の知識をきちんと積み上げていけそうな気がします。

歯内療法のケースアセスメントと臨床根管形態からみる・ストラテジーを選ぶ 興地 隆史 (著) 医歯薬出版  2013  ★★★

エンド界のドン!といえば、この方、興地(おきじ)先生です。国家試験の問題作成もされていますし、学会的にもかなりの重鎮らしく、うちの先生は「日本の歯内療法は興地先生を中心に回っている」ともいっていたぐらいです。。。

エンドは、臨床系の専門書を開くと本当に有象無象の世界というか、何が正しいのかさっぱりわからなくなってしまいます。流派が乱立しているというか、これといった大正解的な方法がないのが歯内療法の特徴でもあると思います。しかし、国家試験は違います。教科書に書いてあることが正解となります。医歯薬出版の教科書が神で、そこに載っていることが正解とされます。

興地先生はこの教科書ももちろん、教科書系の本では必ず上の方に名前があります。その興地先生の単著とあれば、その重要さ具合がわかると思います。いわゆる新問といわれるような新しい傾向のものは、このような臨床系の専門書をカバーしておくのがその対策としては妥当に思われます。Ni-Tiだったり、根管洗浄だったり(昔はスタンダードだったNaOClとH2O2の交互洗浄ではなく、今は、、、)そのあたりの臨床的な手順や道具、方法もこの本のものをイメージできるようになれば国試の臨床実地問題で迷った時に正しい方角に自然と足が伸びるようになるんだろうな、と思います。

エンドドンティクス 第4版 興地 隆史 ほか 永末書店 2015 ★★☆

教科書系では一番この本が新しく写真が豊富でわかりやすいです。歯内療法の基礎的なことから、Ni-Tiについての記述もわかりやすかったです。

歯内治療学 第4版 医歯薬出版 2012 ★★☆

国家試験のバイブル、医歯薬出版の教科書シリーズです。もしまだ買ってなかったり持っていない場合は、かならず国家試験の勉強を本格的に始める前に買っておきましょう。その時の最新版を。過去問で間違った、この用語がわからない、そんなときはまずこの本を開いて、前後の文脈含めて呼んでみることをおすすめします。実践の解説よんでるだけでは知識が断片的になってしまいますからね。。。

「レトロモラーパッドで決まるもの」5つ言えますか?

今日はこの問題です。

102A-118
全部床義歯における頬舌的な臼歯部排列位置の基準はどれか。2つ選べ。
a アーライン
b 歯槽頂間線
c パウンドライン
d 上下顎堤の平行性
e レトロモラーパッドの高さ

正答 b, c 

正答はb,c です。

c パウンドライン

「下顎犬歯の近心」と「レトロモラーパッド舌側縁」を結んだ線。これより内側に人工歯がならぶと、舌を噛んでしまうなど不具合が出やすいので、パウンドラインよりは外に人工歯を並べる!というもの。

b 歯槽頂間線

「臼歯部の歯軸」を「歯槽頂間線」にあわせるのが良いとされています。咬合平面と歯槽頂間の角は80度が天然歯で一般的な状態です。もし70度以下になると、「交差咬合」として、上下の被蓋を逆にする必要があります。つまり、上顎が舌側に、下顎が頬側になる感じに並べます。歯槽頂間線は

  1. 臼歯部の頬舌位置
  2. 交叉咬合の判断

に使われるものです。下で示すイラストをみるとイメージしやすいです。参考にして覚えておきましょう。

e レトロモラーパッドの高さ

これは臼歯の頬舌位置ではなく、「仮想咬合平面」の設定にしようするものです。レトロモラーパッドを使って、位置を決めるものがたくさんあります。ここで、まとめておきましょう。

retro molar pad

「レトロモラーパッドで決まるもの」

  1. パウンドライン:「下顎犬歯の近心」と「レトロモラーパッド舌側縁」を結んだ線。パウンドラインより頬側に人工歯を並べる
  2. 臼歯部の配列:「下顎犬歯の尖頭」と「レトロモラーパッドの尖端」を結ぶ線に「人工歯の中心窩」を一致させる
  3. 臼歯部人工歯の大きさ:「3遠心」から「レトロモラーパッドの前縁」までに入るような大きさの臼歯サイズを選ぶ
  4. 仮想咬合平面の高さ:レトロモラーパッドの高さ1/2、舌の高さとも一致させる
  5. 義歯床後縁:レトロモラーパッドの1/2以上を覆う
「犬歯の近心なのか、尖頭なのか、遠心なのか」ややこしいですね。また「レトロモラーパッドの舌側縁なのか、前縁なのか、高さ1/2なのか」も、ややこしいです。そのあたりを重点的に、確実に覚えていきましょう。
この本だと、このあたりのイメージがイラストで説明されていて、超絶わかりやすいです。

【全部床義歯】「図説無歯顎補綴学―理論から装着後の問題解決まで」  ★★★

麻布の実践で、解説のところに図が書いてあることがありますが、殆どはこの本からの引用です。麻布のは白黒しかなく図は小さく、説明分も断片的で知識がまとめていけません。実際の書籍中でßはカラーで、体系的な説明も載っているので非常にわかりやすいです。有床義歯が苦手な人はこの本を買って、実際にイラストと本文をよんでみることをおすすめします。ぱっ!っとイメージがわいて理解が早いです。

スクリーンショット 2017 01 27 19 53 29

スクリーンショット 2017 01 27 19 53 42

スクリーンショット 2017 01 27 19 57 31

↑「Pl」はパウンドライン、「Pm」はレトロモラーパッド中央と犬歯尖頭を結んだ線。人工歯並べるときには、作業模型上にこれらの線をひいて参考にしながらならべます。

アングル2級、3級のときの前歯の並べ方の説明も秀逸!

スクリーンショット 2017 01 27 19 54 17

加齢による顎堤の吸収で、反対咬合になっていきます

このあたりの説明も下の図のように、一目瞭然にしめしてくれます。この図をみて、顎堤が吸収していくにしたがって、反対咬合になっていくんだなーというのがイメージできます。

スクリーンショット 2017 01 27 19 59 26

【部分床義歯】「スタンダード部分床義歯補綴学」学建書院   ★★★

そしてなんと同じ出版社から部分症義歯ver.も発売されています。名前がガラッとかわってしまってわかりづらいのですが、下の本も、学建書院の本です。全部床のものと同様にわかりやすいイラストと泣ける解説で本当に脇をかためてくれる一冊です。特に、重合の説明とか、「アメリカ、フランス、折衷法」の違いについて、これ以上わかりやすくはかけないんじゃないかなというぐらい、よいかんじです。是非チェックしてみて下さい。その他のところも図解力が半端ないです。イメージがつかみやすいです。

軟口蓋にも味覚はある?喉頭には?

今回はこの問題です

103A-69
味覚で正しいのはどれか。2つ選べ。
a 軟口蓋に味蓄は存在しない。
b 舌下神経は味覚情報を伝える。
c 味細胞の寿命は約1か月である。
d 認知閾値は塩酸よりも食塩の方が高い。
e グルタミン酸ナトリウムは味細胞に受容器電位を引き起こす。

正答d,e

Aで軟口蓋に味蕾は存在します。喉頭と咽頭にも味蕾がいて、味覚があります。あとで詳しく説明します。

Bでは、舌神経は、下の図のとおり、舌の運動神経なので、違います。

Cで舌神経の寿命は結構短いです。10日程度とされているので、こちらも違います。ちなみに、血小板の寿命も10日程度でしたね。

Dの「認知閾値」とは「鋭さ」です。やばいものを口に含んで、ほんの少量でも検出できた人類のほうが生き残ることができました。逆にそれが鈍くたくさんやばいものを食べてしまうような人は死んでいき淘汰されていきます。よって、死に繋がりそうなものを敏感に検出できる!という法則が仮定できます。(本当にそうかわかりませんが、、、)

味覚が鋭い順に書くと、

  1. 苦味:にがい!まずそう。。。
  2. 酸味:すっぱい!腐ってる?
  3. 塩味:塩味おいしー!
  4. 甘み:砂糖はいくらでも食べれます
となります。閾値が高い=鋭くない、となるので、食塩の「塩味おいし~!」のほうが、「酸っぱい!腐ってる?」よりも鈍い=閾値が高い、ということになり、この選択肢が正答肢となります。
↓舌の神経支配を簡単に覚えるための図

舌の支配神経

軟口蓋と喉頭にも味覚がある!

  • 軟口蓋=大錐体神経(Ⅶ|顔面神経)
  • 喉頭・咽頭=迷走神経(Ⅹ)

大錐体神経は、涙腺、口蓋腺、鼻腔腺の分泌、軟口蓋の味覚!と非常に沢山の役割があります。似た名前で小錐体神経、深錐体神経もありますが、こちらは役割はそれぞれほんの少しです。大錐体神経な大きい!からいろいろ役割がある!と覚えておきましょう。以下のようなまとめもこの際に確認しておきたいところです。

大錐体神経と小錐体神経
  • 大錐体神経:涙腺、口蓋腺、鼻腔腺の分泌、軟口蓋の味覚!(大きいから多く役割もっている、と覚える)
  • 小錐体神経:耳下腺の分泌(小さいから1つの分泌専門、と覚える)

【走行】

  • 大錐体神経→破裂孔→翼突管
  • 蝶錐体裂(脳頭蓋底へ出る)→小錐体神経→卵円孔→耳神経節
  • 鼓索神経←錐体鼓室裂(側頭下窩から骨の中に入っていく)

神経の走行で、破裂孔、蝶錐体裂、錐体鼓室裂、など似た名前の孔がここらへんで 入り混じってます。気合い入れてまとめて、国試前にまたすぐ見直せるようにしておきましょう。この辺は何度やっても忘れてしまうところです。。。

花粉症のリーサルウェポン=翼突管神経の切断!

花粉症がひどい人で、涙も鼻汁も止まらない人に対して、薬などでどうしようもない時「翼突管神経」を切断します。涙、鼻水などの分泌の神経をまとめて切ってしまうので、どんなにアレルゲンにより分泌の命令がでても鼻水はでずに鼻閉が起きにくくなります。

頭頸部の解剖のイメージをしっかりつくれる本

ネッター頭頸部・口腔顎顔面の臨床解剖学アトラス 

ちなみに、このあたり「翼口蓋窩」には重要な神経があちこちから入っては出ていきます。頭の中をしっかりまとめたいのであれば、上記の本「ネッター頭頸部・口腔顎顔面の臨床解剖学アトラス」を使うと良いでしょう。一部紹介しますが、このような神がった翼口蓋窩のまとめが載っています。どれだけ翼口蓋窩が複雑なジャンクションなのかお分かりいただけると思います。

翼口蓋窩

また、翼突管神経って、交感神経も副交感神経も味覚などの神経もいろいろ混じって入っています。大錐体神経と深錐体神経の関係とかちょっとごちゃごちゃしそうですが、そのあたりの走行も見事にネッターさんが描ききってくれているので、しっかり頭頸部の解剖を勉強したい人は、この本はマストバイです!

翼突管神経2

深錐体神経が、錐体の中、深いところを通っているのがわかります。また大錐体神経は堂々と、錐体の上を進んでいくあたり、の陰と陽の対象的な感じもイメージできると忘れづらくなります。

頭頸部の解剖|おすすめの参考書

ネッター頭頸部・口腔顎顔面の臨床解剖学アトラス ★★★

頭頸部の解剖については、この本が一番詳しくて、不足なく書かれている気がします。ちょっとややこしい、翼口蓋窩の神経とか、喉頭や嚥下のあたりも詳しく動きがイメージできるようになっています。

この軟口蓋の形の変化をみよ!

下の絵は、ネッター本にのっている嚥下の解説のイラストです。上から順に嚥下の様子が、段階別に描かれています。軟口蓋が、押し付けられてすごい形変わっている様子がわかります!鼻咽腔閉鎖機能不全とか、結構状態としてやばいんだなーって肌感覚で理解できるようなると思います。

嚥下

ネッター頭頸部・口腔顎顔面の臨床解剖学アトラス を一部改変

頭のなかに正しい人体のイメージをもつことが重要

こういう食物が通るイメージをもっておけると、新しい問題がでたときでも、頭のなかで考えて答えが導き出せるというか、その頭のイメージがあることで、変な選択肢を選ばないようにできます。

今回は以上です。

舌の神経支配の覚え方

105A-100

損傷すると味覚障害をきたすのはどれか。 2つ選べ。

a 鼓索神経
b 舌咽神経
c 舌下神経
d 下歯槽神経
e 眼窩下神経

正答 a,b

定番の問題ですね。舌の神経支配を理解していれば回答することができます。舌前2/3の味覚は鼓索神経(via 顔面神経)で舌後ろ1/3の味覚は舌咽神経です。他に舌の知覚、舌の運動、に関しても支配する神経が違いますので、領域別に覚えるのがちょっと面倒です。参考書にはこんな感じのまとめ表が載っていたりします。

スクリーンショット 2017 01 25 11 04 01

もちろんこれはこのまま覚えれるんですが、時間が立つと忘れてしまったり、試験中に書き出そうと思ってもちょっと時間がかかります。

もうちょっとシンプルに覚えやすい表にできないか、、、ということで私はこのような形で覚えています。

舌の支配神経を覚える表

舌の支配神経

一応左端の曲線は舌です。前2/3と後1/3に分けて書いています。神経の番号を数字でシンプルに書き出しています。知覚と味覚が全部奇数で5799ってかけるので、なんか覚えやすいです。運動は領域関係なく、12の舌下神経ですからこれもなんか書きやすいです。

知覚(温痛覚・触覚)

舌前2/3:舌神経(Ⅴ:三叉神経)
舌後1/3:舌咽神経(Ⅸ)

味覚

舌前2/3:鼓索神経(Ⅶ:顔面神経)
舌後1/3:舌咽神経(Ⅸ)

舌の運動

舌前2/3:舌下神経(Ⅻ)
舌後1/3:舌下神経(Ⅻ)

実際に舌の神経支配の図を描いてみよう

それではこの表を使って実際に問題を解いてみましょう。練習のため、毎回、上記図を書いて体で覚えれるようなると強いです。覚える量は脳でパンパンなので、腕や手のほうで覚え込ませるのです。シンプルな図だとそういったことが可能になってきます。

舌の支配神経

第1問

105C-112

内頭蓋底の写真を別に示す。矢印で示す孔を通過する神経が支配するのはどれか。2つ選べ。

  1. 涙の分泌
  2. 唾液の分泌
  3. 咀囎筋の運動
  4. 舌体部の味覚
  5. 舌体部の触覚
スクリーンショット 2017 01 25 19 24 27

正答 3, 5

孔は卵円孔なので、V3 三叉神経の下顎神経が通ります。咀嚼筋の運動と、舌の知覚を担います。舌に関する味覚と知覚でややこしいので、やはりあの図を書いて、確実に選択肢を選んでいきましょう。

舌の支配神経

第2問

106A-115
濾紙ディスク法による味覚検査時の舌の写真 を別に示す。
調べているのはどれか。1 つ選べ。
a 鼓索神経
b 鼓室神経
c 翼口蓋神経
d 大錐体神経
e オトガイ神経

スクリーンショット 2017 01 25 11 38 34

正答 a

濾紙ディスク法は、味覚障害を調べるためのものです。直径5mmの紙に甘・塩・酸・苦味の4種類の試薬のどれかをたらして、それを舌の6箇所におきます。6箇所は以下の位置です。6箇所の位置は、それぞれ支配神経が異なるので、それが根拠になって決まっています。

また、試薬に何を使っているか、も念のため覚えておきましょう。苦味がキニーネ、酸味が酒石酸、というところがちょっと以外ですね。

ろ紙ディスク法の4試薬
  1. 苦味:塩酸キニーネ
  2. 酸味:酒石酸
  3. 塩味:塩化ナトリウム
  4. 甘み:白糖
※閾値の高い順にならんでいます。

いろんなところに登場する「酒石酸」

酒石酸は歯科の国家試験でいろんな領域で登場しますよね、以下に主なものをまとめておきます。
  • 味覚の検査:濾紙ディスク法の酸味:酒石酸
  • グラスアイオノマーセメントの硬化をシャープにする液成分:酒石酸
  • 破骨細胞を活性化する物質・マーカー:酒石酸抵抗性酸性フォスファターゼ
分野を越えてのまとめは、大学の先生はやってくれないので、こういうのを自分でコツコツとまとめてみると知識が縦割りではなく横のつながりもできてなかなか忘れにくくなるのでおすすめです。
味覚の受容器は2つに分類できる

味覚の受容体は大きく2つに分けることができます、1.イオンチャネルになっているグループと、2.Gタンパク型のグループでです。イオンチャネル型が塩(NaCl)と酸(H+)なので、そちらが覚えやすいですよね。イオンチャネルは、例えば塩味の場合、Na+が味蕾細胞のイオンチャネルから細胞内にたくさん入ってくることで、味覚として感じています。

1.イオンチャネル型受容体
  • 塩味(Na+イオンチャネル)
  • 酸味(H+チャネル)
2.Gタンパク型受容体(Ac→cAMP、PLC→DG, IP3)
  • 甘み
  • 苦味
  • 旨味

【生理学】おすすめの参考書

1.人体の正常構造と機能 ★★★★★★★

本当にすごい本だと思います。解剖、組織、生理、生化の各分野を横断して、人体の仕組みをわかりやすく解説してあります。基礎系で、躓いたときにはまずこの本を開いています。

最新の第三版では、同じ価格で電子書籍もついてくる!という超オトクな特典がついています。これはもう買うしかないですね。電子書籍ならスマホやタブレットで文字検索して一発で見たいページに飛べますからね。もう参考書としては最強だと思います。

特に「絵」と「図」が秀逸で、イメージしにくいところをかなりわかりやすくシンプルな表現をしています。本当にこの本がなかったら、分野別でバラバラのままだった知識が沢山あり、その多くがこの本を読むことでまとめあげられました。

シンプルな言葉と絵で構成されているので、わかりやすい分、足りないところがありますが、まずはこれで大きな流れをつかむことが、非常に重要です。その後細かいところ、肉付けしていくのが効率的です。

基礎で言うなら、この本と「Essential細胞生物学」が2大名著だと思います。2万弱で少し買うのに躊躇しますが、マストバイ!のおすすめの一冊です!一度図書館で確認してみてください!

イラストがほんとうにきれい!

問題1でポイントになった脳頭蓋底の解剖の図も、この本にはわかりやすい図があります。他の解剖のイラストもそうですが、かなりきれいで、色使いなどが適切で構造と名前がわかりやすいです。本当に勉強しやすいおすすめの一冊です。

スクリーンショット 2017 01 25 19 32 55

基礎系、最強の参考書

今日はこの問題です

109A-46

舌咽神経によって支配されるのはどれか。2つ選べ。
a 声帯
b 舌下腺
c 頸動脈小体
d 茎突咽頭筋
e 口蓋帆張筋

正答 c d

舌咽神経の支配についての設問です。dの茎突咽頭筋は、簡単に選べると思います。声帯ってどの神経だっけ?頸動脈小体は、どこにあるのか、何をやっているのか、昔生理学で習ったけど、、、明確にイメージができない、、、解剖の講義でのまとめをみると、、、

舌咽神経

  1. 【運動】茎突咽頭筋・上咽頭収縮筋(疑核→舌咽神経→頚静脈孔→茎突咽頭筋・上咽頭収縮筋)
  2. 【感覚】咽頭の感覚、舌後ろ1/3の感覚と味覚
  3. 【副交感神経】耳下腺の分泌(下唾液核→舌咽神経→頚静脈孔→鼓室神経→小錐体神経→蝶錐体裂→耳神経節→耳介側頭神経に伴行→耳下腺)
  4. 【自律神経系?】頸動脈小体(血中CO2濃度センサー)、頸動脈洞(血圧センサー)
のような感じでしょうか…

スクリーンショット 2017 01 23 0 21 25

カラー図解 人体の正常構造と機能 坂井 建雄ほか 日本医事新報社 より

基礎系は、底なし沼

例えば、この問題で間違ったとして、その後の勉強はどの範囲までカバーして拾っていくでしょうか。上に書いた舌咽神経の支配や走行を覚えるのは必要でしょう。

また、選択肢の中のよく知らない単語を調べることも重要です。今回で言えば、私は「頸動脈小体」についてその機能などがぼんやりな感じでした。2年の生理学で習ったはずの細かな知識。こういったものを繰り返し復習して身につけなければなりません(しんどい…)。

「頸動脈小体」が舌咽神経支配だということよりも、「人体のpH調整」や「呼吸中枢との関係」など、、、のほうが重要かもしれません。こうして雪だるま式に覚えることが増えていきます。

このように基礎系の科目は、臨床系の科目に比べて勉強のコスパが悪いです。6年生から勉強しようとした時、その膨大な量に呆然とすると思います。しかも沢山覚える割に、国家試験では数問しか出題されないというドMな構造。必死に覚えても、数カ月後に忘れまくっている。。。しかし、できるヒトはみんな解けてしまう。丸暗記では到底太刀打ちできません。

効率的に基礎系を勉強するにはどうしたらよいでしょうか?

実践の解説やNEW TEXT?

例えば実践での「頸動脈小体」の解説はこれだけです。

頸動脈小体は舌咽神経に支配されている。生命維持に関わる動脈化学受容器に一つで、動脈血の酸素分圧の低下、二酸化炭素分圧やH+濃度の上昇を感知し呼吸数や一回換気量、心拍数、1回拍出量を増加させる。

この文章を呼んで、100%、人体のpH調節と頸動脈小体の役割について理解できる人は少ないと思います。特に僕は文章だけの説明から実際の現象をイメージするのがヘタで、わかりやすいイラストや図説などがないとうまく定着できず丸暗記になってしまいます。NEW TEXTなどもコンパクト過ぎてイメージがもてず丸暗記になりがちです。もっと、図とかイメージでもって、実際に働いている様を文脈とか流れ、物語として理解させてほしい!!

この本がお薦め「人体の正常構造と機能」

この本、医科系のなんですが、人体、解剖、組織学、生理学、生化学など横断的にまとまっています。そして絵や図が非常にわかりやすい!Amazonの評価も異常に高いです。例えば頸動脈小体を調べたいと思ったら、、、

頸動脈小体 大動脈小体 詳細
カラー図解 人体の正常構造と機能 坂井 建雄ほか 日本医事新報社 より

こういう感じで、ズバッとでてきます。

  • pHは、化学受容器の頸動脈小体
  • 血圧は、圧受容器の「大動脈小体+頸動脈洞」
というのもまとめて覚えるのが良いですよね。そしてそれぞれの紐付いている神経もイメージしやすくのっているのがいいです。その神経は中枢で呼吸中枢とかに接続していくんだな―とか。動脈のそばに小体がついているから、そのまま血のpH濃度を測れるんだな―とか、頸動脈小体は舌咽神経だけど、大動脈小体は迷走神経なんだなーとか、この絵をみることでイメージできます。

人体では、pHや血圧をどのように調整するんだっけ? 

そして、読むうちに、センサーが頸動脈小体だとして、その後どうやってpHを調整しているんだろう?、、と疑問がわいてきます。そういった疑問をさくっと読んで解消できるのがこの本のすごいところです。生理学的な人体の機能と解剖・組織学の構造のあたりであれば大抵のことが超わかりやすく解説されています。実際に少しみてみましょう。

スクリーンショット 2017 01 23 0 18 39
カラー図解 人体の正常構造と機能 坂井 建雄ほか 日本医事新報社 より

化学受容器が動脈血のガス分圧を監視し、呼吸を調節する

このフレーズは、「化学受容器」の説明ページのタイトルなんですが、どれもタイトルが秀逸なんです。一文だけでぐっと理解させるわかりやすい見出し。

実際に「化学受容器が動脈血のガス分圧を監視し、呼吸を調節する」というタイトルとその短い文を読むだけで「なるほど!呼吸でCO2(=酸のもと)を排出して、体内のpHを調整できるんだ!」というのがすぐ理解できてしまうというか。

例えば、運動時で乳酸が沢山産生され、H+が増え、身体が酸性に傾いたときの調整はこうです。

  1. 化学受容器=頸動脈小体は頸動脈にあるので、そこの血液からCO2濃度上昇を感知
  2. 「頸動脈小体」→「舌咽神経」が興奮
  3. 舌咽神経の興奮が、呼吸中枢へ
  4. 呼吸中枢から呼吸を促進する命令がでる→沢山息を吐いて、CO2を外に出す
  5. H+ + HCO3- → H2CO3 → H2O+CO2 この式でCO2がでていってくれるので、右向きの反応が加速しH+を沢山回収できる。
  6. 左端の重炭酸によるH+の緩衝がすすみ、pHが下がる
というところまで、数ページ眺めるだけでまとめて理解できてしまします。
何より、この本は、全て「1見開き、1テーマ」で完結するように書かれています。長々と詳しい専門的な説明、というよりも、短い文で全体をつかむための内容で「へーヒトってそうやって動いているんだ―よく出来ているなー」という瞬間が多く訪れてきます。図と文章が相互に説明しあっているというか、読んでいて本当に理解が早いです。

大きな括りで俯瞰的なまとめ

上の図は「血圧調整」と「pH調整」のまとめという観点からも秀逸です。なかなか神経と器官の位置が入り組んでいて、複雑なんですが、「pH調節」と「血圧調節」の2つの系が連動して機能している様がわかりやすい。しかも、説明も短く最低限です。本当に質の高い本だと感心させられます。幾つかの本から寄せ集めれば同じクオリティの図版と説明がそろうとは思いますが、一冊に全部のっている本はなかなかないと思います。

血圧の調整はもっとわかりやすかった

さらに「大動脈小体」「頸動脈洞」などの圧受容器のセンサリングから始まる血圧の調整機構もわかりやすいイラストと短いシンプルな説明でささっと頭に入ってきます。
血圧調節
カラー図解 人体の正常構造と機能 坂井 建雄ほか 日本医事新報社 より

この3つの輪のイラスト、感動しました。血圧が「末梢血管抵抗」「心拍出量」「循環血液量」で決定されているということと、その調整が「自律神経系」「ホルモン」「腎臓」という大きく3つの手段で調整しているということが実にきれいに表現されています。血圧って血管にかかる圧力だから、たしかに管自体が縮めば圧力あがるし、中の血液量自体が増えれば血管の圧力が上がりますよね。そういうところまでイメージしながら理解を導いてくれる感じがすごくいいんです。
この他にも循環系の説明は、さらにわかりやすい図と説明が続くので、ぜひ実物を読んでみて下さい。

歯科にはうれしい嚥下系の内容も豊富

解剖系は図のきれいさやわかりやすさが重要なんですが、骨学も筋も脈管、神経も図のクオリティがやばいです。動きなど解説されていわかりやすいです。

また、歯科医師必須の咬頭、声帯周りの軟骨と筋肉などの豊富です。声帯を緊張させる唯一の筋肉、「輪状甲状筋」ってすごく軟骨との動きがトリッキーでイメージしづらいんですが、見事に図説されています。「輪状甲状関節」がポイントだったんですね。また文章の解説もわかりやすいんです。ぜひ実際に読んでみて下さい。

スクリーンショット 2017 01 21 4 29 31
カラー図解 人体の正常構造と機能 坂井 建雄ほか 日本医事新報社 より

「組織学」も載ってます!

組織学的な図も秀逸。タイト結合が、帯状にしっかりと細胞間をまさに「タイトに」くっつけている様もわかりますし、接着斑とそれにくっついている細胞骨格=アクチン系で、デスモゾーム結合には中間径フィラメントなのも綺麗に表現されています。デスモゾームとヘミデスモソームが同じ色で、ほんとに基本的に同じもんなんだな―というのもわかってよいです。

組織学では、各臓器、典型的な組織像なんかも豊富に掲載されていて、マクロからミクロまで一気通貫で読み通せるので、理解を深めやすいです。

スクリーンショット 2017 01 21 4 39 13
カラー図解 人体の正常構造と機能 坂井 建雄ほか 日本医事新報社 より

「生化学」も載ってます!

生化学の糖代謝もすごいです。細かいのはどこにでも落ちてるんですが、糖代謝と脂質代謝からめてここまで綺麗でわかりやすい図はみたことがありません。ペントースリン酸回路のあたりの組み込み方とかすごいです。頭のなかでばらばらだったものがホント1つにまとまって整理できる感じがします。

シグナル伝達系の図説も豊富で、リガンドからどの受容体で細胞内でどんなことがおきていくのか、しっかりと書いてあります。ほんと俯瞰的というか網羅的というか、そのコンセプトと定着具合が素晴らしいと思います。

スクリーンショット 2017 01 21 4 34 18
カラー図解 人体の正常構造と機能 坂井 建雄ほか 日本医事新報社 より

重要なこと:科目を越えて知識を結びつけていくこと

もしあなたがまだ低学年でこれから基礎系の科目を受けていくのであれば、この本をおすすめします。講義の復習、テスト勉強の度にそこを読んでおくだけで、知識のストック、まとまり方が全然違うと思います。6年生でも、今から基礎を仕上げなければいけないのであれば、すごい助けになると思います。

我々は結局は「ヒトの身体のこと」を学んでいるはずで、解剖、生理、生化、薬理など科を分けて学んでいたことを、最終的には1つのオーガニックなイメージにまとめていく作業が必要です。

この「統合」作業は残念ながら、学校では教えてくれません。各科のスペシャリスト、専門に詳しい人はいくらでもいますが、国家試験の全範囲をまんべんなく広く深く研究する科目はなく、それ専門の人材を多くの大学は雇っていないからです。大学の先生が、普段の知識のまま勉強せずに国家試験受けたら、合格できるのは何%になるでしょうか。

なので科目間の統合については勉強している「あなた自身」でやるしかなく、正にCBT、国家試験の点数差はそこのまとめ方のセンスに大きくよっていくような気がします。丸暗記では膨大な量でも文脈や論理やストーリーにまとめあげていけると「覚える」のではなく、まさに人体の生きるイメージが頭の中に自然にできあがっていきます。そういった作業の助けになるのがこの本だと思います。実際に私自身が歯学部で勉強してきた経験から自信をもっておすすめできる本です。

知識の値段はいくらだろう

この本は2万弱もするため、そう安々と買うことはできません。その2万円にはどのような価値があるんでしょうか。例えば「現金」や「宝石」は誰かに奪われたりしたらそれで終わりです。しかし、自分の中に吸収した知識・理解・技術は誰にも奪うことはできません。私達の中に一生根付く貴重な財産です。そして、その知性を必死に磨き続け、多くの人を救っていくのが我々医療人の生業なのではないでしょうか。

留年すれば、学費はいくらかかるでしょうか、国家試験おちれば、予備校通うのに1年間200万かかります。知識に値段を付けることはできませんが、多少本を買って効率的に勉強でき、正しいイメージを築き上げていけるのであれば、その方が安上がりだと考えます。

勉強は、時間もお金も労力も、最小限で終わらせたいです。どのような形があなたにとって、もっとも効率的となるのか今一度、改めて試してみるとよいかもしれません。「勉強の仕方の勉強」ともいうべきか。

最後は異様なテンションになってしまいましたが、今回は以上です。(ステマ記事みたいになってしまいましたが、お金は一銭ももらってません!正直なこの本への愛をつづっただけです…)

【生理学】おすすめの参考書

1.人体の正常構造と機能 ★★★★★★★

本当にすごい本だと思います。解剖、組織、生理、生化の各分野を横断して、人体の仕組みをわかりやすく解説してあります。基礎系で、つまずいたときにはまずこの本を開いています。

最新の第三版では、なんと同じ価格で電子書籍もついてくる!という超オトクな特典がついています。これはもう買うしかないですね。電子書籍ならスマホやタブレットで文字検索して一発で見たいページに飛べますからね。もうほんと最強だと思います。

特に「絵」と「図」が秀逸で、イメージしにくいところをかなりわかりやすくシンプルな表現をしています。本当にこの本がなかったら、分野別でバラバラのままだった知識が沢山あり、その多くがこの本を読むことでまとめあげられました。 シンプルな言葉と絵で構成されているので、わかりやすい分、足りないところがありますが、まずはこれで大きな流れをつかむことが、非常に重要です。その後細かいところ、肉付けしていくのが効率的です。

基礎で言うなら、この本と「Essential細胞生物学」が2大名著だと思います。2万弱で少し買うのに躊躇しますが、マストバイ!のおすすめの一冊です!

2.トートラ人体の構造と機能 ★★☆

上で紹介した「人体の正常構造と機能」と系統は似ていますが、こちらも解剖、組織、生理、生化など、統合的に理解していくのに役立ちます。やはり絵が綺麗で、シンプルでわかりやすい。同じことを2冊の本でみると理解がより立体的になってきます。外国語を2つぐらい習うと日本語の特徴がよりわかってくるのと類比的というか。図書館などにあれば、ぜひパラパラめくってみましょう。なるほど、そういうことだったのか、という頷きをできるだけ多く得ましょう。そしてそれらのページを後でフィードバックできるようにまとめていくのです。

3.基礎歯科生理学 医歯薬出版 ★☆☆

口腔生理学の教科書がいいのがありません。泣。おそらく多くの人が教科書として買わされていると思います。国家試験は医歯薬出版のシリーズがバイブルで、これにのっていることから出題されるので、知らないことがでてきたら一度はそこのところをこの本で読んでみることをおすすめします!全然、読んでて勉強なるので良いのですが、もっとわかりやすく、いい本ができるとよいなーと思います。

「一過性の冷水痛」か「間欠性の自発痛」か、それが重要

今回はこの問題です

101C-4
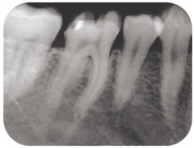
28歳の男性。下顎右側第一大臼歯の疼痛を主訴として来院した。3年前に治療を受けたが,数日前から30分ほどの自発痛が間欠的に起こるという。電気診で閾値が低下している。初診時の口腔内写真とエックス線写真とを別に示す。
軟化象牙質除去後の処置で適切なのはどれか。1つ選べ。

スクリーンショット 2017 01 19 16 04 58スクリーンショット 2017 01 19 16 05 03

A グラスアイオノマーセメントで裏層し,コンポジットレジン修復
B 水酸化カルシウムで間接覆髄し,コンポジットレジン修復
C 酸化亜鉛ユージノールセメントで間接覆髄し,コンポジットレジン修復
D 水酸化カルシウムで直接覆髄し,コンポジットレジン修復
E 酸化亜鉛ユージノールセメントで仮封し,経過観察

正答 E

問題文に「間欠的な自発痛」とあるので、CR修復など最終修復に進んではいけません。もし「自発痛」が「冷水痛」であればそれが正答になりえますが、今回の場合は、歯髄の炎症が大きいので、「歯髄鎮静療法」を選ぶ必要があります。鎮静療法につかえるお薬は、ユージノールとフェノール系の2種でしたね。ユージノールは歯髄炎が広まりかけている組織を殴って!黙らせるようなお薬です(アグレッシブ!)。それで歯髄炎が収まれば、歯髄保存しCR充填できますし、自発痛が止まらなければ全部性の歯髄炎に移行したと判断され、抜髄となります。
今回はとりあえず、ユージノールということでCかEが残ろいますが、Cのユージノール+CRは「重合阻害」を起こすのでアウトです!よって、正答はEとなりなす。
このようにユージノールは、歯髄の保存可否についてリトマス試験紙のような役割でつかわれることをおさえておきましょう。また、この「歯髄鎮静療法」を「待機的診断」と呼ぶこともあります。一度、お薬を詰めて待ってみて、診断をつけるという意味です。「歯髄鎮静療法」はじめ歯髄炎の処置などについてはこちらの記事に詳しくかいていますので、あわせて参考にしてみてください。
http://www.kokushi.space/?p=883

104B-4
35歳の男性。下顎右側第一大臼歯の違和感を主訴として来院した。2週前にう蝕の治療を受け,その数日後から自覚しているという。右下6はレジン系仮封材で充填されており,間欠的な咬合痛と冷水痛とがある。歯髄電気診に反応する。仮封材除去前のエックス線写真と仮封材除去前後の口腔内写真とを別に示す。適切な処置はどれか。1つ選べ

スクリーンショット 2017 01 19 16 07 27

スクリーンショット 2017 01 19 16 07 34a IPC法
b 抜髄法
c 直接覆髄法
d メタルインレー修復
e 光硬化型グラスアイオノマーセメント修復

正答 d

こちらは、歯髄が正常と判断できます。「自発痛」ではなく「間欠的な冷水痛」で、歯髄電気診で反応しているからです。よって、最終的な修復=メタルインレー修復にうつることができます。もちろん、歯髄に近接していて刺激が伝わってしまいそうなときには、間接覆髄や裏層などお薬をつめることを途中ではさむかもしれませんが、大枠の治療方針としてはメタルインレー修復が妥当となります。問題文の冷水痛が、自発痛だったりすると、「歯髄鎮静療法」や「抜髄」を考えていかなければならなくなります。

「一過性の冷水痛」or「間欠性の自発痛」

歯内治療、エンドの問題を解く時に、問題文で常に目を光らせて置かなければいけない単語があります。それが、「一過性の冷水痛」か「間欠性の自発痛」かです。

患者の「痛みがあるのか、無いのか」=「歯髄鎮静消炎療法なのか、最終修復をやってしまって大丈夫なのか」は、上記の単語によって判断されることが多いです。

「一過性の冷水痛」や「間欠性の冷水痛」や「痛みが消退した」とあれば、歯髄はまだ健康な状態で、歯髄充血とかそんななので、「自発痛がない」と判断でき、間接覆髄法が行えます。つまり、お薬詰めて、最終処置ができます。死ぬまで症状無ければそのままで過ごせます。

一方、「間欠性の自発痛」とあれば、急性漿液性歯髄炎が疑われ、「自発痛があり」なので間接覆髄法→CR修復はすぐにはできません。一度、歯髄のリトマス試験紙、こと、酸化亜鉛ユージノールセメントなどを詰めて、「歯髄鎮静消炎療法」を行い、歯髄炎が「一部性」なのか「全部性」なのかを試験することが多いです。(もちろん、拍動性の自発痛や打診痛が顕著で歯髄炎が全部性であることが明らかである場合は、すぐに抜髄します。)

もし、自発痛あるのに、そのまま最終修復したら、病状が悪化して、全部性歯髄炎、化膿性歯髄炎→根尖性歯周炎などになってしまい、抜髄・感染根管治療を行う必要があります。何より患者の痛みを示しているのにそれを無視してCR充填してしまうなんて、現場に立ってみればありえないことだってわかるようなもんですが、文章で書かれているとリアリティが薄いですし、何より実際の経験が少ないので、そのあたりの感覚がイメージしずらいです。

今回は以上です。

歯内療法おすすめの本

新歯内療法学サイドリーダー 学建書院 2013 ★★★

サイドリーダーでは、この歯内療法の本が群を抜いておすすめです。イラストが丁寧にかかれていて、教科書の文章読んで頭のなかでイメージするしかなったような処置の様子が、ああ!こんな風にするんだ!という箇所が多く、勉強になりました。3,4年生でこれから学ぶ人も、6年になっても歯内療法が苦手!という人も、まずはこの本をみておくと入り口からスムーズに入れて、その後の知識をきちんと積み上げていけそうな気がします。

歯内療法のケースアセスメントと臨床根管形態からみる・ストラテジーを選ぶ 興地 隆史 (著) 医歯薬出版  2013  ★★★

エンド界のドン!といえば、この方、興地(おきじ)先生です。国家試験の問題作成もされていますし、学会的にもかなりの重鎮らしく、うちの先生は「日本の歯内療法は興地先生を中心に回っている」ともいっていたぐらいです。。。

エンドは、臨床系の専門書を開くと本当に有象無象の世界というか、何が正しいのかさっぱりわからなくなってしまいます。流派が乱立しているというか、これといった大正解的な方法がないのが歯内療法の特徴でもあると思います。

しかし、国家試験は違います。教科書に書いてあることが正解となります。医歯薬出版の教科書が神で、そこに載っていることが正解とされます。興地先生はこの教科書ももちろん、教科書系の本では必ず上の方に名前があります。

その興地先生の単著とあれば、その重要さ具合がわかると思います。いわゆる新問といわれるような新しい傾向のものは、このような臨床系の専門書をカバーしておくのがその対策としては妥当に思われます。Ni-Tiだったり、根管洗浄だったり(昔はスタンダードだったNaOClとH2O2の交互洗浄ではなく、今は、、、)そのあたりの臨床的な手順や道具、方法もこの本のものをイメージできるようになれば国試の臨床実地問題で迷った時に正しい方角に自然と足が伸びるようになるんだろうな、と思います。

エンドドンティクス 第4版 興地 隆史 ほか 永末書店 2015 ★★☆

教科書系では一番この本が新しく写真が豊富でわかりやすいです。歯内療法の基礎的なことから、Ni-Tiについての記述もわかりやすかったです。版も新しいですし、この方法は古いんじゃ、、、みたいなところがなかったです。医歯薬出版の教科書でわからないことでもこちらを開いて納得することが何度もあり。網羅的に短時間で勉強終わらせるには、こちらも合わせて使えるとスムーズだなと感じました。

歯内治療学 第4版 医歯薬出版 2012 ★★☆

国家試験のバイブル、医歯薬出版の教科書シリーズです。もしまだ買ってなかったり持っていない場合は、かならず国家試験の勉強を本格的に始める前に買っておきましょう。その時の最新版を。

「過去問で間違った」「この用語がわからない」そんなときはまずこの本を開いて、前後の文脈含めて読むことをおすすめします。実践の解説よんでるだけでは知識が断片的になってしまいます。文脈や意味を掴みながら系統的に勉強していきましょう。

第一種過誤と第二種過誤の成り立ち

今日はこの問題です。

107C-44

研究を行ったサンプルにおいて、 2 群間の差を統計的に検定した結果と母集団に おける真理との関係を表に示す。

スクリーンショット 2017 01 18 19 58 21

第 1 種の過誤はどれか。 1 つ選べ。

  1. アとエ
  2. イとウ

正答 イ

「第一種過誤」「第二種過誤」の考え方

  • 帰無仮説を立てて統計の判定するとき、ミスが2つある
  • 1.帰無仮説を棄却できた=差があると判定されたが、実際には差がなかったミス =表のイ
  • 2.帰無仮説を棄却できなかった=差がないと判定されたが、実際には差があるミス =表のウ
  • 研究者は普通「差がある」ことを目指して研究しているので、「1」のミスを犯しやすい
  • よって、無理やり差があるように判定してしまうミスを「第一種過誤」とした。
  • 本当は差があるのに、差を見いだせなかったミスは「第二種過誤」で、実際はあまり起こらない。

全然違いますが例え話

これは統計の話で、この例え話は全然当てはまらないのですが、STAP細胞がある、として証明しようとして、普通の実験データをいいように解釈したり、実験操作をついうっかり差が出るような感じにしてしまって、「STAP現象は存在する!」という発表をしてしまうことが、どこかこの「第一種過誤」と類比的に思えてなりません。一生懸命に取り組むとトランス状態になって、客観的な視点を失うことは誰にでもあることだと思います。

「あわてんぼうのα、ぼんやりβ」

ネット上で、このような覚え方を見つけました。「第一種過誤」を「αエラー」ともいうのですが、「α」をあわてんぼうの「あ」とかけて、あわてんぼうで、本当はない、2集団の差異をあるように判定してしまう。という論理です。

一方「第二種過誤」は「βエラー」ともいいますが、「ベーター」をぼんやりとかけて、ぼんやりのβとしています。こちらも、ぼんやりしていて、本当はあるはずの貴重な2集団の差異!を見逃してしまう様をいい現しています。秀逸な覚え方だと思いました。

  • 第一種の過誤:αエラーとも言う。有意差がないのに、あるとしてしまう過誤。
  • 第二種の過誤:βエラーとも言う。有意差があるのに、ないとしてしまう過誤。

αエラ―は、あわてて有意差がないのに、あると判定してしまうこと。
βエラーは、逆に有意差があるのに、ぼんやりしていて見逃してしまうこと。

歯科医師国家試験の統計学

歯科医師国家試験では正直、本当にあっさりしか統計的な知識を問われません。上記の第一種過誤と第二種過誤は結局削除になってしまいましたし、実績としては、

  • 平均値、中央値、最頻値、標準偏差、累積度数分布などの基本用語
  • 標本の抽出の仕方
  • t検定
  • F検定
  • カイ二乗検定
ぐらいしか問われていません。しかも計算する必要もなく、いつ、どのような判定をしたいときにどの検定を使うのか、というのを覚えていればよいだけです。

帰無仮説と対立仮説

あとは、すごく基本的な用語「帰無仮説」と「対立仮説」ぐらいはおさせておきたいです。つまり、統計的にここに差がある!って判定をしたい、証明したいときには、思っているのとは逆の「帰無仮説」をたて、それが確率的にありえないから、「対立仮説」=思っている通りの結果が正しい、という風に証明する。のが作法になってします。同じである!というのを否定する、方が、違います!と証明するよりも楽なんです。

なので、「帰無仮説を棄却」は予想が当たって、嬉しいことです。多くの場合は。

確率的に、あり得ない、というのは有意水準を5%や1%でとります。つまり、A小学校=フッ化物洗口ありの生徒のう蝕増加数とB小学校=フッ素なしのう蝕増加数に差がない!と計算してみて、それが5%でしかなりたたない。と証明すると、それは差があるんじゃない?ということになります。だって20回に1回しか差がない!というふうに結果がでないんだから。

おえておくべき検定法

1.t検定

  • 母平均の差の検定。
  • 2集団の平均値が同じくらいかどうか。
  • DMFT指数(1人平均う蝕数)が地域間でさがあるか、など

2.F検定

  • 2つの母分散が等しいかどうか
  • 2つの集団のばらつき具合が同じくらいかどうか
  • 分散!とくればF検定!と覚えましょう

3.χ2検定(カイ二乗検定)

  • A|独立性の検定
  • B|適合度の検定=期待値が実際の値と適合しているか

を確かめる時に使います。

2変数についてのクロス集計表(2✕2の表)に基づき、2変数間に関連があるのかどうかを検定します。薬を飲んだ、飲まない、と副作用がでた、でない、の表を作って、そこに差があるのかどうか、関係を調べたりします。

今回は以上です。

統計学おすすめの本

完全独習 統計学入門  小島 寛之 ★★★

統計学は大学院行く人は早くから基本的なところは理解しておいたほうがよいです。実験では必ずと行っていいほど使います。実験のデザインやそもそもの発想のところにも関わってくるので、興味のある人は勉強しましょう。こちらは非常にわかりやすく、本当に1人で勉強できる感じでした。

マンガでわかる統計学 高橋 信 ★★☆

統計学を専門としてない人で、一般人とか経営者として、教養の範疇で統計を知りたい人向け。大学・大学院レベルの教養としてもよいでしょう。大学院で専門にやる人には足りないと思います。

漫画でわかりやすく解説してあります。凄くイメージしやすいです!歯科医師国家試験でも問われる統計の基本的な内容を丸暗記してしまっていて、イメージだけでもつかめるようになりたい!という人にもぴったりです!

隔壁3兄弟

まぎらわしい!「隔壁」は、3つあります。

隔壁には大きく以下の3種類があります。名前をつけた人を本当に恨みます。これが本当にややこしい。隔壁の3種類については、明確に覚えておきましょう。

  1. 保存修復|歯を削るときに隣の歯を傷つけないようにする壁=隔壁
  2. 保存修復|削った後CR充填しやすいように周りを取り囲む壁=隔壁
  3. 歯内療法|削りすぎてラバーダムできない歯質にCRで盛って作る壁=隔壁

1.保存修復|歯を削るときに隣の歯を傷つけないようにする壁=隔壁

1

2.保存修復|削った後CR充填しやすいように周りを取り囲む壁=隔壁

2

保存修復学21 第3版 2008 田上順次他 永末書店 より

3.歯内療法|削りすぎてラバーダムできない歯質にCRで盛って作る壁=隔壁

隔壁形成 80

上の3つの写真は、目的が違うものですが、どれも「隔壁」という名前が付けられています。

1.歯を削る時(保存修復法)の隔壁

隣接面を削るときに、隣の歯を削らないように引いておくカバーを隔壁と呼ぶことがあります。隣接歯面の切削被害を防止したり歯周組織を損傷したりしないことが目的です。

2.充填する時(修復法)の隔壁

充填のときの隔壁は、CRを盛りやすくするために壁を立てることです。これにより、

  • 接触点の回復ができる
  • 隣接面の形を作りやすくする

ことが可能になります。難しい言葉を使うと複雑窩洞を単純化して材料の填塞や圧縮などの操作を容易にし形態付与をしやすくし、填塞された材料の強度が保たれるようになります。

2

保存修復学21 第3版 2008 田上順次他 永末書店 より

接触点の回復は、歯間離開をすることも重要になります。以下の図をみるとわかりやすいかもしれません。

歯間離開 隣接面接触点の回復

歯間離開についてこちらの記事も読んでみて下さい。

「プレウェッジ」と「ウェッジ」
http://www.kokushi.space/?p=1131

充填の隔壁法で使う道具が超重要

充填時の隔壁法では、使う道具にいくつか種類があり、名前とモノを頭のなかで一致させておく必要があります。正確に細かいところまでイメージできるようにならないと国家試験ででつまずくことになります。以下の3つのポイントが重要です。

  • 透明フィルム(前歯部用)か、金属のフィルム(臼歯部用)か
  • フィルムを押さえるのは何か|指、トッフルマイヤー、リング状リテーナー、アイボリー/エリオットのセパレーター
  • 歯間離開は何でやっているか|ウェッジ、リング状リテーナ、

具体的には、大まかに以下の5種類を押さえておけばよいでしょう。どれも充填用の隔壁法です。フィルムを保持し歯間離開するために何が使われているのか。そして、そのことによって「接触点の回復」「隣接面の携帯が作りやすく」なっていることもイメージしながら…

  1. ストリップス(透明な帯のフィルム=前歯部の充填で多い)
  2. トッフルマイヤー型(古典的で強固)
  3. セクショナルマトリックス(セクショナルバンド)型|リング状リテーナーで保持
  4. セクショナルマトリックス型|アイボリー/エリオットのセパレーターで保持
  5. オートマトリックス、Tバンド(バンドだけで結べて、保持の器具がいらない)

1.ストリップス(透明な帯のフィルム=前歯部の充填で多い)

スクリーンショット 2017 01 18 0 46 43
保存修復学第5版-2007-平井義人-他-医歯薬出版

2.トッフルマイヤー型(古典的で強固)

スクリーンショット 2017 01 18 0 44 06
保存修復学第5版-2007-平井義人-他-医歯薬出版

3.セクショナルマトリックス(セクショナルバンド)型|リング状リテーナーで保持(製品名:バイタインリング)

金属製ではなく、透明なセクショルマトリックス、透明なリング状リテーナー、透明なウェッジ(光導型ウェッジ)もあります。それらは光を透過するのでレジン光重合がさらに強固にできる様になっています。

スクリーンショット 2017 01 18 0 44 24

保存修復学第5版-2007-平井義人-他-医歯薬出版

4.セクショナルマトリックス型|アイボリーのセパレーターで保持+ウェッジで歯間分離

スクリーンショット 2017 01 18 1 01 56
保存修復学21-第3版-2008-田上順次-他-永末書店

5.オートマトリックス

2

保存修復学21 第3版 2008 田上順次他 永末書店 より

セルロイドストリップスは前歯!セクショナルマトリックスは臼歯!

このような細かいところをつかれることがあります。セルロイドストリップスは透明なフィルムのことです。レジンを光重合するときに、光が透過するので便利です。主に前歯部で使用します。一方、臼歯部は金属のフィルムを使うことが多いです。臨床では、臼歯部でも透明のフィルムと透明なウェッジや透明なリング状リテーナーなど使って治療すること多いですが、国家試験的にはまだ出てきていません。透明なウェッジのことを「光導型ウェッジ」と呼びます。

次のうち前歯部のCR修復に使うものはどれか。すべて選べ。

  1. セクショナルマトリックス
  2. サービカルマトリックス
  3. アイボリー型リテーナー
  4. セルロイドストリップス
  5. エリオット型リテーナー
  6. トッフルマイヤー型リテーナー

 正答 2, 3, 4, 5(エリオットは主に臼歯部ですが、前歯部でも使用可能です)

3.根管治療の時(歯内療法)の隔壁

根管治療のときに「隔壁」といったら「根管に唾液が入らないように、きれいに保つため」に行います。具体的には、虫歯が進んで歯冠が殆ど残ってない時、細菌感染(コロナルリーケージ)を起こさないように、歯の周囲に壁を作ることによって、ラバーダム防湿を可能にすることが目的です。そう、根管治療の隔壁は誰のためにやるのかというと「ラバーダム」様のためにやるのです。

追加で、周りに強固な壁をつくってあげて、歯質を一次的に回復したような状態にしておくことで、仮封材の封鎖性も高くなります。術後、次の処置までの仮封剤をボロボロの歯冠に使っても弱いのですぐ壊れてしまいます。CRで強固な壁を作って、ちょこっと蓋をしてあげることで、仮封が強固になります。
隔壁形成 80

関連する過去問を解いてみよう

104B-43
45歳の男性。下顎左側第一大臼歯の咬合痛を主訴として来院した。感染根管治療を行うこととした。 クラウンと感染象牙質を除去した後の口腔内写真と感染根管治療開始日の口腔内写真とを別に示す。
感染根管治療開始前に行った処置の目的はどれか。2つ選べ。

隔壁形成写真 80

a 歯質の保存
b 咬合の維持
c 仮封の強化
d 審美性の回復
e 術野の汚染防止

正答 c, e

「仮封の強化」が答えづらいですが、 C4ぐらいのボロボロの歯冠に仮封剤を強引に使っても弱いのですぐ壊れてしまいます。すると根管が細菌に汚染されてしまいます。そこで、CRで強固な壁を作って(隔壁の形成)、ちょこっと仮封剤で蓋をしてあげることで封鎖性が強固になります。

105D-9
26歳の女性。上顎左側小臼歯部の食片圧入を主訴として来院した。上顎左側5に自発痛はなく,歯髄電気診に反応する。コンポジットレジン修復を行うこととした。初診時の口腔内写真とエックス線写真とを別に示す。爾窩の開拡にあたって必要な前準備はどれか。2つ選べ。

スクリーンショット 2017 01 18 1 19 46

a 隔壁
b 咬合調整
c 歯肉圧排
d 歯間分離
e ラバーダム防湿

正答 d e

ややこしいですが、削るときの隔壁も必要な気がします。でも、それ以上に「ラバーダム」は必須ですし、歯間離開は絶対的に重要です。その上でさらに削らないように隔壁を立てると安全になりますが、必須ではありません。3つ選べであれば、a, d, eが正答になっていたでしょう。

106B-4
36歳の女性。上顎左側臼歯の冷水痛を主訴として来院した。上顎左側5にコンポジットレジン修復を行うこととした。初診時の口腔内写真、エックス線写真及びう蝕除去中の口腔内写真を別に示す。
矢印で示す器具の使用目的はどれか。1つ選べ。修復の隔壁

a 隔壁
b 防湿
c 歯問離開
d 歯肉排除
e 隣接歯保護

正答 e

この問題で、Cの写真に使われているのが、歯を削る時にでてくる隔壁です。問題を解く上では関係ないですが、この銀色のフィルムで歯を削る時に隣の歯を削ってしまわないようにガードしています。このガードのことを「隔壁」とも呼びます。問題では「目的」を聞かれているので、隣接歯保護が正答ですが、名前を聞かれたら、隔壁が答えにもなります。

93B-18
隔壁法におけるクサビ使用の目的で正しいのはどれか。2つ選べ。

a 歯間部の歯肉を圧排する。
b マトリックスバンドを圧接する。
c 接触点に間隙が生じるのを防ぐ。
d 辺縁隆線部の形成を容易にする。
e 複雑窩洞を単純窩洞化する。

正答 b c

bはこれまでの説明ですぐ理解できるかと思います。もう一つは、きっと「歯間離開」の効果について選べばいいんですが、cの「接触点に間隙が生じるのを防ぐ」というのがわかりずらいです。「接触点をきちんと作るためにやるものなのに、、、、」と思っちゃいますが、昔の問題なので、日本語がちょっとややこしい表現になっています。

要は、隔壁を使用して、歯間離開しないままだとその隔壁のフィルム厚さ分、歯間が空いてしまうということです。それを、ウェッジなりセパレーターなりをいれて歯間離開をすることで、そのスペースを利用してフィルムの厚さ分だけ多くもれるので、歯間離開を戻した時にピッタリと接触する形を作れるでしょうということです。もっと、隣接面の形の付与がし易いとか接触点の回復が可能とか、書いてくれればいいんですけどね。これからの国家試験ではこのあたりの分かりづらい表現に関してはブラフュアップがしっかりとかかっていくようになっているので、このような形で難しくなることは殆ど起きないとは思います。

今回は以上です。

【保存修復学】のお薦め参考書

1.保存修復学21 ★★★

「医歯薬出版の保存修復学」と上の「保存修復学21」が2大巨塔ですが、僕は上にもリンク貼ってる「保存修復学21」をおすすめします。理由は写真が大きいからです。あとは診断や手技などのまとめからも21のシリーズのほうが、読んでいてわかりやすいです。「医歯薬出版の保存修復学」は網羅的に書いてありますが、写真や図が小さく文章で理解する割合がより多い印象を受けます。勉強が進んできてだいたいのことがわかってくると、こちらのほうが面白く感じてくるのですが、最初の段階では「保存修復学21」を携えて勉強したほうがよりわかりやすく学ぶことができると感じています。

編集仕方というか、ページのまとめ方や文字と写真、イラストの並べ方など「保存修復学21」のほうが読んでいて非常にわかりやすくできていると思います。歯内療法でも同じ構造で、医歯薬出版のものよりも、21シリーズのほうが僕はわかりやすいです。この本が教科書に指定されている学校はうらやましいなーと思います。

2.カラーアトラスハンドブック 保存修復臨床ヒント集 ★★☆

臨床問題を得意になるコツは、基本的な処置や考え方などを1.にあげたような教科書の内容を一通り読んでから、あとは、臨床の処置の写真をとにかく見て、知らない器具や処置の種類を減らすことです。
このカラーアトラスハンドブックシリーズは少し古いのですが、それでも基本的な処置に関してはかなりリアリティつかめるのでおすすめです。特に文章読むのが苦手で、、、という人は暇な時にパラパラめくっておくだけでも、すごくためになると思いますよ。

もちろん、5,6年次の臨書実習のリアルな処置と教科書の内容を自分で紐付けることは非常に重要です。教科書は、臨書実習の具体的な処置内容をまとめてより抽象的に、学術的にまとめたものです。机上の勉強ではそれらをつかむだけなのでなんとなく体感がなくぼんやりとした理解ですが、その文章化された診断や治療内容を具体的なやり方・道具、手順などを実際の体験と紐付けることでより深い理解になります。そうすると国家試験のやったことない臨床問題でも、頭のなかでイメージして、正解に自分でたどり着けることが多くなります。

「プレウェッジ」と「ウェッジ」

教科書に書いていないけど、区別が重要な「プレウェッジ」と「ウェッジ」

下の2つのウェッジはいずれもモノとしては同じですが、使用方法の違いで名称が変わります。

Wedge prewedge

保存修復学21 第3版 2008 田上順次他 永末書店 より

プレウェッジ=歯を削る時に使う

「感染歯質を削るとき」に使うウェッジです。歯の間に挟んで歯と歯の間を開きます。また、誤って歯間乳頭を削ってしまわないように、プレウェッジを挟んでガードします(歯間乳頭の保護)。また、歯を離すことで隣接面を削りやすくする目的もあります。下のウェッジとものとしては全く同じものなんですが、使い方で名前が変わっています。

  1. 歯間離開
  2. 歯間乳頭の保護

ウェッジ=充填する時に使う

プレがつかないウェッジは、「CR充填するとき」につかいます。もちろん、プレウェッジもウェッジを使用するので「歯を削る時」にもウェッジを使うので、どちらの用途にも使うのですが、特に歯を削るときのウェッジを「プレウェッジ」と呼びます。

歯と歯の間を離して、隣接面の接触点の形を作るスペースを作ります。隣接面が削られた状態では、隣接面の接触がなく、歯と歯の間が狭まっているので、そのままCRつめても正しくない隣接面形態になります。そこで、歯間にウェッジを挟んで歯間にスペースを作って、それぞれの隣接面の形態を作った後、ウェッジをとることで、やっと、正しい歯間距離で、隣接面が接触する、という流れです。

また、CR充填しやすいように隔壁(マトリックスバンドや透明ストリップスなど)の固定も同時に行うことができます。この場合、歯間乳頭の保護という目的はありませんね。また、歯を離すことで光照射もいろいろな角度から行うことができるようになる利点もあります。

  1. 歯間離開
  2. 隣接面の接触点の回復(歯と歯の接触点が点で接するように綺麗な曲線をつくれる)
  3. マトリックスなどの固定

「 隣接面の接触点の回復」とはどういうことか?

ウェッジによる歯間離開のポイント2で、「 隣接面の接触点の回復」とありましたが、これはどういうことなのでしょうか?以下のような図を描いてみました。こちらを見るとよりわかりやすいかもしれません。
歯間離開 隣接面接触点の回復
Bの状態で、充填が完了して、ウェッジを引き抜くと、元の正常な隣接面の状態に戻りますよね。普段の清掃や食物残渣の残りやすさを考えると隣接面は、点接触が理想的な形態です。
小児の乳歯DE間は面接触なので、より、う蝕になりやすかったですよね。点接触がやはり好ましい形態です。また、隣接面に接触点が無いと今度は、食片圧入などで歯周疾患へのリスクが高くなってしまいます。直接法のCR充填はチェアサイドでやるので、難しいですが、このあたりも考慮して治療に臨んでいきたいところです。

国家試験における「プレウェッジ」と「ウェッジ」

国家試験の問題を通して、「プレウェッジ」と「ウェッジ」を意識的に見ていきましょう。これまで学んだことの復習にもなります。写真で歯間に挟んであるものが、プレウェッジなのか、ウェッジなのか、予想しながら、問題を解いていきましょう。
107B-4
43 歳の女性。下顎左側第一大臼歯の歯質の破折を主訴として来院した。自発痛は なく、歯髄電気診に反応を示す。コンポジットレジン修復を行うこととした。修復 操作中の口腔内写真(別冊 No. 4)を別に示す。 次に行う操作はどれか。 2 つ選べ。
スクリーンショット 2017 01 13 2 26 27
a 隔壁の設置
b 修復物の除去
c 齲蝕病巣の除去
d ウェッジの除去
e ボンディング材の塗布
正答 b, c
↑この問題の場合は、「プレウェッジ」を使っていますね。CR充填時の「ウェッジ」ではないので、隔壁は関係ない、ということになります。
103B-8
32歳の男性。下顎右側大臼歯部の食片圧入を主訴として来院した。自発痛はなく、温度診に異常を認めない。コンポジットレジン修復を行うこととした。初診時の口腔内写真とエックス線写真とを別に示す。
適切なのはどれか。2つ選べ。
スクリーンショット 2017 01 13 2 33 10
スクリーンショット 2017 01 13 2 33 14
a プレウェッジを行う
b ラバーダム防湿を行う。
c レジンコーティングを行う。
d エアブレイシブで切削する。
e 水酸化カルシウム剤で覆髄する。

正答 a,b

↑この症例もプレウェッジです。感染歯質を削る時の、隣接歯の保護と歯間乳頭の保護を行います。国家試験では、ラバーダム無しの治療はほぼないので、選択肢にあるとほぼ、正答肢になることが多いです。処置の順番を聞かれれて、ラバーダムはもっと後ですよ、みたいな感じで答えにならなかったりすることはありますが、全ての歯内治療、CR修復などではラバーダムを使用して治療を行う設定になっています。
103D-52
34歳の女性。下顎右側第一大臼歯の冷水痛を主訴として来院した。2週前から一過性の冷水痛を自覚するようになったという。電気診に正常に反応する。コンポジットレジンで修復することとした。初診時のエックス線写真と感染象牙質除去後の口腔内写真とを別に示す。
修復に必要なのはどれか、2つ選べ。
スクリーンショット 2017 01 13 2 40 08
a ウェッジ
b 圧排用綿糸
c セメント裏層器
d マトリックスバンド
e サービカルマトリックス
正答 a, d
↑これは、充填時の「ウェッジ」です。「プレウェッジ」ではありません。ちょうど下の右の図のような感じにして、CR充填をしていきたいので、ウェッジとマトリックスバンドを使用するのが正答になります。この作業のことを「複雑窩洞(隣接にも咬合面にも開いている窩洞)を単純窩洞(咬合面にのみ開いている窩洞)にする」という表現を使うこともあります。言葉の使い方がわからないだけで、問題が非常に難しくなってしまうことが多いので、知らない表現がでてきたら、その場で誰かに聞くか調べるかして、しっかりと自分の中でイメージできるようにしていきましょう。知らない言葉を潰していくことは、合格のために重要な習慣だと思います。

Wedge prewedge

保存修復学21 第3版 2008 田上順次他 永末書店 より

【保存修復学】のお薦め参考書

1.保存修復学21 ★★★

「医歯薬出版の保存修復学」と上の「保存修復学21」が2大巨塔ですが、僕は上にもリンク貼ってる「保存修復学21」をおすすめします。理由は写真が大きいからです。あとは診断や手技などのまとめからも21のシリーズのほうが、読んでいてわかりやすいです。「医歯薬出版の保存修復学」は網羅的に書いてありますが、写真や図が小さく文章で理解する割合がより多い印象を受けます。勉強が進んできてだいたいのことがわかってくると、こちらのほうが面白く感じてくるのですが、最初の段階では「保存修復学21」を携えて勉強したほうがよりわかりやすく学ぶことができると感じています。

編集仕方というか、ページのまとめ方や文字と写真、イラストの並べ方など「保存修復学21」のほうが読んでいて非常にわかりやすくできていると思います。歯内療法でも同じ構造で、医歯薬出版のものよりも、21シリーズのほうが僕はわかりやすいです。この本が教科書に指定されている学校はうらやましいなーと思います。

2.カラーアトラスハンドブック 保存修復臨床ヒント集 ★★☆

臨床問題を得意になるコツは、基本的な処置や考え方などを1.にあげたような教科書の内容を一通り読んでから、あとは、臨床の処置の写真をとにかく見て、知らない器具や処置の種類を減らすことです。
このカラーアトラスハンドブックシリーズは少し古いのですが、それでも基本的な処置に関してはかなりリアリティつかめるのでおすすめです。特に文章読むのが苦手で、、、という人は暇な時にパラパラめくっておくだけでも、すごくためになると思いますよ。

もちろん、5,6年次の臨書実習のリアルな処置と教科書の内容を自分で紐付けることは非常に重要です。教科書は、臨書実習の具体的な処置内容をまとめてより抽象的に、学術的にまとめたものです。机上の勉強ではそれらをつかむだけなのでなんとなく体感がなくぼんやりとした理解ですが、その文章化された診断や治療内容を具体的なやり方・道具、手順などを実際の体験と紐付けることでより深い理解になります。そうすると国家試験のやったことない臨床問題でも、頭のなかでイメージして、正解に自分でたどり着けることが多くなります。

「隔壁が先か、歯間離開が先か」CR修復

今回はこの問題です。

104D-37

27歳の男性。上顎左側臼歯部の痛みを主訴として来院した。一過性の冷水痛を認める。左下5にコンポジットレジン修復を行うこととした。初診時の口腔内写真と罹患歯質除去後の口腔内写真撮を別に示す。次に行うのはどれか。1つ選べ。

a 歯間離開
b 接着操作
c 裂溝の形成
d 隣接面の予防拡大
e マトリックスの挿入

スクリーンショット 2017 01 11 19 24 42

正答 e

隔壁の作る順序

歯間離開とマトリックスどちらが先か…写真Bでう蝕の除去をしているので、次はCR充填していきます。隣接面のところにも充填するので、隔壁を作らないといけません。歯間離開とマトリックスの挿入、どちらもやるはずですが、その順番はどちらが先になるでしょうか。

充填時の隔壁の手順:マトリックスが先

  1. マトリックスの挿入
  2. 歯間離開(ウェッジやリング型リテーナー)

充填時の隔壁は上記の順番になります。なぜでしょうか?実際に自分でやってみるとわかるのですが、ウェッジやリング型リテーナーは歯を強く押すことで歯と歯の間をあけます。よって、ウェッジをいれたままだと、マトリックスをいれることができません。なので、まずは、マトリックスを先に入れて、それを固定するとともに、歯間離開もするために、ウェッジやリング型リテーナーをいれます。このあたりは実際の作業をやってみると当たり前のことなのですが、机の上で問題を解いているだけだとわかりづらいです。 しかもこれらの一連の作業は非常に細かい部分なので臨床実習で見ていたとしても注意深く意識を向けていないと見逃してしまいそうなところです。

残念ながら、この類の問題を勉強するには、国家試験の過去問を解いて、1度間違い、それから教科書などをもう一度詳しく読んでいくというようなやり方でしか身につけることができないと思います。

今回は以上になります。

【保存修復学】のお薦め参考書

1.保存修復学21 ★★★

「医歯薬出版の保存修復学」と上の「保存修復学21」が2大巨塔ですが、僕は上にもリンク貼ってる「保存修復学21」をおすすめします。理由は写真が大きいからです。あとは診断や手技などのまとめからも21のシリーズのほうが、読んでいてわかりやすいです。「医歯薬出版の保存修復学」は網羅的に書いてありますが、写真や図が小さく文章で理解する割合がより多い印象を受けます。勉強が進んできてだいたいのことがわかってくると、こちらのほうが面白く感じてくるのですが、最初の段階では「保存修復学21」を携えて勉強したほうがよりわかりやすく学ぶことができると感じています。

編集仕方というか、ページのまとめ方や文字と写真、イラストの並べ方など「保存修復学21」のほうが読んでいて非常にわかりやすくできていると思います。歯内療法でも同じ構造で、医歯薬出版のものよりも、21シリーズのほうが僕はわかりやすいです。この本が教科書に指定されている学校はうらやましいなーと思います。

2.カラーアトラスハンドブック 保存修復臨床ヒント集 ★★☆

臨床問題を得意になるコツは、基本的な処置や考え方などを1.にあげたような教科書の内容を一通り読んでから、あとは、臨床の処置の写真をとにかく見て、知らない器具や処置の種類を減らすことです。
このカラーアトラスハンドブックシリーズは少し古いのですが、それでも基本的な処置に関してはかなりリアリティつかめるのでおすすめです。特に文章読むのが苦手で、、、という人は暇な時にパラパラめくっておくだけでも、すごくためになると思いますよ。

もちろん、5,6年次の臨書実習のリアルな処置と教科書の内容を自分で紐付けることは非常に重要です。教科書は、臨書実習の具体的な処置内容をまとめてより抽象的に、学術的にまとめたものです。机上の勉強ではそれらをつかむだけなのでなんとなく体感がなくぼんやりとした理解ですが、その文章化された診断や治療内容を具体的なやり方・道具、手順などを実際の体験と紐付けることでより深い理解になります。そうすると国家試験のやったことない臨床問題でも、頭のなかでイメージして、正解に自分でたどり着けることが多くなります。

シグナル伝達と受容体

シグナル伝達と受容体

シグナル伝達のカスケードの種類とそれを開始する受容体との組み合わせは本当に面倒です。時々国家試験でも問われるのでここはゴロや簡単なイメージで乗り切りたいところです。

面倒なのはGタンパク共役型の受容体が種類多く、アドレナリン系の受容体、ムスカリン系の受容体と組み合わせが複雑に絡み合っています。以下のように整理して覚えましょう。

161005 193625 1
「AC,cAMP系は全てベタ」
1|Gs→AC(アデニル酸シクラーゼ)→cAMP→PKA
  • β1〜3(アドレナリンβ1〜3受容体)
「MAMAにっこり抑制」
2|Gi→Gk、ACの抑制
  • α2(アドレナリンα2受容体)
  • M2(ムスカリン性アセチルコリン受容体)
「MAMA奇数にQuestion?」
3|Gq→PLC→IP3+DG、PKC
  • α1(アドレナリンα1受容体)
  • M1,3,5(ムスカリン性アセチルコリン受容体)
※GkタンパクはM2のみでα2はないので、注意しましょう。

科目を横断しての理解が大切

ゴロとは関係ないのですが、このカスケードでPLCが分解するPIP2が細胞膜のリン脂質の腕をちょん切って、その部品をシグナル伝達に使っている、というのは面白くて本当に好きなところです。シグナル伝達に必要な物質をDNAから合成するのでなく、自分の膜の物質を切って使うってなんかアジア的というか人間らしい感じがして好きです。同じようなことがアラキドン酸カスケードでもでてきますよね。炎症の要のサイトカインPGE2の元々の材料を辿っていくと細胞膜のリン脂質で、それがPLA2(ホスホリパーゼA2)というPLCの親戚のような酵素が担っている。このあたりのつながりを自分で紐解いていくのが基礎系の勉強の重要なポイントというか、生理、生化学、薬理を横にダイナミックにつなげていけて知識がより強固なものになり無味乾燥なものから論理的に組み上がっていって強度がでてくるあたりだと思います。
Gタンパク

おすすめの参考書

【基礎系最強】

人体の正常構造と機能 ★★★★★★★

本当にすごい本だと思います。解剖、組織、生理、生化の各分野を横断して、人体の仕組みをわかりやすく解説してあります。基礎系で、躓いたときにはまずこの本を開いています。

最新の第三版では、同じ価格で電子書籍もついてくる!という超オトクな特典がついています。これはもう買うしかないですね。電子書籍ならスマホやタブレットで文字検索して一発で見たいページに飛べますからね。もう参考書としては最強だと思います。

特に「絵」と「図」が秀逸で、イメージしにくいところをかなりわかりやすくシンプルな表現をしています。本当にこの本がなかったら、分野別でバラバラのままだった知識が沢山あり、その多くがこの本を読むことでまとめあげられました。

シンプルな言葉と絵で構成されているので、わかりやすい分、足りないところがありますが、まずはこれで大きな流れをつかむことが、非常に重要です。その後細かいところ、肉付けしていくのが効率的です。

基礎で言うなら、この本と「Essential細胞生物学」が2大名著だと思います。2万弱で少し買うのに躊躇しますが、マストバイ!のおすすめの一冊です!一度図書館で確認してみてください!

【薬理学】

ハーバード大学講義テキスト 臨床薬理学 ★★★★

この本がなければ複雑な薬理学を整理して理解することは不可能だったと思います。今回の図もこの参考書のものを参考にシンプルにまとめたものです。イラストがわかりやすくシンプルで薬や受容体との関係など直感的に掴めますし、文章・翻訳も自然な翻訳でぐいぐい読み進められます。アセチルコリン受容体とコリンエステラーゼやアドレナリン受容体など歯科でも必須のところをかなりわかりやすく説明されています。 ハーバード大学の医学生たちがまとめたものが元になっているようです。臨床的な応用の話から、薬理の細かい機序まで超絶わかりやすい図と説明で一気に解説されています。 僕はこれの第二版を持っていますが、それでも十分すぎる内容でした。最新のものはフルカラーになったということで、早速新しい物も頃合いを見計って手に入れたいと思っています。